Direct Bonding Summerfield
Conservative Cosmetic Care for Your Smile

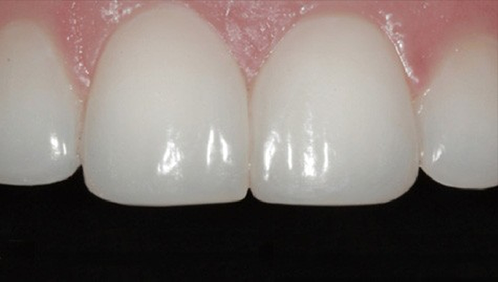
Do you avoid showing your teeth when smiling or chatting with a friend? You don’t need to let insecurities about your appearance hold you back. Your cosmetic dentist, Dr. Tristan Parry, has an affordable and effective solution to enjoy the smile of your dreams. Direct bonding in Summerfield can revamp your teeth and self-esteem after just one or two appointments. You’ll have natural-looking results you’ll be proud to share with the world.
Why Choose Magnolia Shores Dental for Direct Bonding?
- Conservative Smile Treatment Addresses Minor Flaws
- Local Expert with Years of In-Depth Advanced Cosmetic Dentistry Training
- Personalized Dental Treatment Plans for Each Patient
What Is Cosmetic Direct Bonding?

Also called dental bonding, the minimally invasive procedure uses a composite resin material with a putty-like appearance. It’s perfectly shaded to match the color of your teeth to blend in with your enamel. It can be sculpted to fix a variety of concerns, including:
- Tooth discoloration and stains
- Tooth decay
- Exposed tooth roots
- Chipped, cracked, or abnormally shaped teeth
- Gaps between teeth
- Shorter than average teeth
Although the treatment is right for most patients, you’ll still require a consultation with Dr. Parry to ensure it’s suitable for your goals. He’ll examine your teeth and learn more about the results you want to create a personalized strategy.
The Process of Getting Direct Bonding

After your initial consultation, you’ll be scheduled for your procedure. If you’re only treating 1 or 2 teeth, it generally takes 30 to 60 minutes. If you want to improve several teeth, Dr. Parry may recommend more than one visit.
Once your tooth has been cleaned, Dr. Parry will apply a weak acid to it to open the pores in your enamel to ensure a strong bond. Your tooth will be rinsed and dried before the resin is applied to it, which has been previously shaded to the color of your enamel. After it has been sculpted into the ideal shape, a special dental light will quickly harden it. Your tooth will be smoothed and polished, so you will walk out of the office with the stunning smile you deserve.
The Benefits of Direct Bonding

There are more options than ever to achieve a picture-perfect smile; however, cosmetic bonding continues to rank among the top elective procedures. Overall, you get a lot of bang for your buck because of countless advantages, including:
- Corrects several issues
- Looks natural
- Minimally invasive
- Don’t permanently alter teeth
- Easy maintenance and care
- Durable and cost-effective
- Long-term results
How Long Does Direct Bonding Last?

Dental bonding can last for a decade or longer with the right care, like committing to your oral hygiene at home and visiting your dentist regularly. It’s also a good idea to avoid anything that might damage it, such as sticky or hard foods, using your teeth as tools, or chewing on inedible objects, like your nails. Just like your enamel, the resin can discolor over time, so you’ll need to be proactive about staining.
